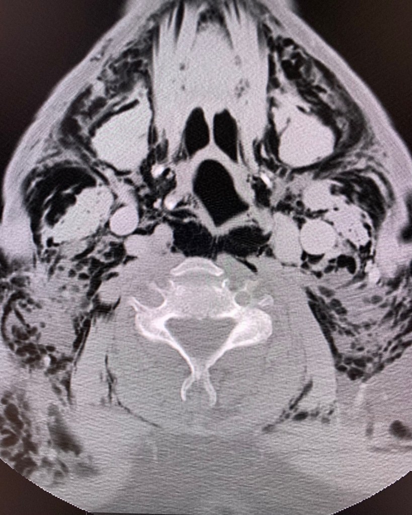
“Ghosting with Gas”

This ghoulish CT image resulted from subcutaneous and deep space neck emphysema (gas) dissecting upwards from the chest.

Published by Stephen Futterer

Much of my career in radiology has been spent studying, with great fascination, the internal mechanisms of the human body. This blog is an effort to expand that view to the outside world and also to map my own experiences engaging with it.

Leave a comment